Dental X-Ray

Dr Tay Chih Kien of True Dental Studio

Clear images, informed decisions — Digital X-rays help us see beneath the surface, guiding your treatment with precision.

Over 20 Years Experience20+ Years Experience
Over 25,000 Patients Seen25,000+ Patients
CHAS / MG / PG SubsidiesCHAS / MG / PG
Same-Day AppointmentsSame-Day Booking
  • Price: From $35.97.
  • Treatment Duration: Typically a few minutes per X-ray image (excluding consultation and treatment).

Your Comfort is Our Priority

Feel uncomfortable during treatment? Just raise your hand — our friendly dentists can pause and offer comfort options like water breaks or light numbing to help you feel at ease.

Information reviewed by: Dr Tay Chih Kien, B.D.S (Singapore) | Last updated: Mar 07, 2026 Last updated: Mar 07, 2026
Panoramic image of orthopantomogram (OPG) X-Ray of patient's teeth.
Dentist going through with patient her dental X-Ray results.
Panoramic image of orthopantomogram (OPG) X-Ray of patient's teeth.

Dental X-rays, also referred to as dental radiographs, produce detailed images of the teeth, gums, and surrounding structures, providing important information about oral conditions that may not be visible during a standard visual examination.

These images can reveal cavities between teeth, track the development of emerging teeth, assess bone levels, and identify tumours or other irregularities. Dental X-rays are also used to evaluate the position of wisdom teeth, particularly where their alignment may lead to discomfort or complications.

Dental X-rays are a non-invasive diagnostic procedure commonly used in dental care to support early identification of potential issues and inform appropriate treatment planning.

Consultation starts from $27.25 to $65.40 NETT. Book your appointment easily with our friendly staff through WhatsApp. We will respond ASAP, latest within 2 business days.
WhatsApp Us Now

Dental X-Ray Photos

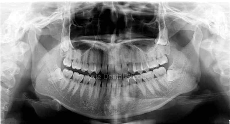
Orthopantomogram (OPG) X-Ray image of patient's teeth.
Case 1: Patient A underwent an orthopantomogram (OPG) X-Ray as a preliminary diagnostic step before starting Invisalign treatment. The OPG was conducted to assess the patient's overall oral health prior to initiating the aesthetic correction procedure.
Bitewing X-Ray image of patient's teeth.
Case 2: Patient B underwent bitewing X-Ray imaging prior to receiving dental scaling and polishing treatment. The patient reported experiencing sensitivity in the molar regions, prompting further diagnostic evaluation.

Digital Dental X-Ray at True Dental Studio

At True Dental Studio, we opt to use the digital X-Ray, which offers a host of advantages over traditional film-based X-Rays. These are some benefits:

  • Reduced Radiation Exposure: Digital X-Rays emit significantly less radiation compared to conventional film X-Rays.
  • Instant Imaging and Analysis: Digital X-Rays are instantly available for viewing, allowing for quicker diagnosis and immediate discussion of treatment options.
  • Enhanced Image Quality: Digital technology offers superior image quality, which can be easily manipulated and enhanced for a more accurate diagnosis. This ensures that even the smallest issues can be detected early, leading to better treatment outcomes.

When you select digital X-Rays at True Dental Studio, you are choosing a more secure, faster, and more efficient way to get an accurate diagnosis.

Dental X-Ray: Radiation Level and Safety

The amount of radiation from a digital X-Ray at our facility is comparable to what one might experience during a flight to the United States based on radiation dosage figures from the International Atomic Energy Agency (IAEA) and Centers for Disease Control and Prevention (CDC). The level of exposure for dental X-Ray falls within the range considered safe for routine diagnostic evaluation.

How often should you do a Dental X-Ray?

Patients at high risk for dental caries may consider undergoing routine dental X-Rays every 1-2 years for more vigilant oral health monitoring. A "high-caries risk" designation generally applies to individuals who have experienced tooth decay within the last three years or have previously received restorative dental care. These factors suggest a higher bacterial count in the oral environment, thus warranting more frequent screenings to maintain optimal dental health.

Dental X-Ray Price

X-Ray Price*
Consultation $27.25 to $65.40
Bitewing $35.97
Orthopantomogram (OPG) / Lateral Cephalogram $109
3D Cone Beam CT (Sectional) $141.70
3D Cone Beam CT $327

*Prices are NETT and inclusive of GST.

Why Choose True Dental's Dental X-Ray Treatment?

How Do I Book a Dental X-Ray Appointment?

Frequently Asked Questions

A dental X-Ray is a diagnostic imaging technique used to capture detailed pictures of teeth, gums, and surrounding oral structures. It aids dental professionals in identifying hidden issues such as cavities, bone loss, and other abnormalities that may not be visible during a routine dental examination.

At True Dental Studio in Singapore, the cost of dental X-Ray services varies depending on the type of imaging required. A bitewing X-Ray starts at $35.97, an orthopantomogram (OPG) is priced at $109, and a 3D Cone Beam CT (Sectional) is available from $141.70.

Dental X-Rays are generally not painful. The procedure involves placing a digital sensor or a small film holder in your mouth, which may cause minor discomfort for a brief period. However, the actual process of taking the X-Ray is quick and should be painless.

The recommended frequency for dental X-Rays varies depending on several individual factors, such as age, overall oral health, and your susceptibility to dental issues. For those at elevated risk, particularly individuals with a past record of cavities and dental fillings, X-Rays may be advised more frequently, potentially once every 1 to 2 years. This allows for vigilant monitoring and timely treatment of any emerging dental problems.


Navigate With Google